切换至 "中华医学电子期刊资源库"

中华腔镜泌尿外科杂志(电子版) ›› 2026, Vol. 20 ›› Issue (02) : 231 -236. doi: 10.3877/cma.j.issn.1674-3253.2026.02.018

MDT精选病例

广东省医学会泌尿外科疑难病例多学科会诊(第28期)——阴茎癌并双侧腹股沟、髂外动脉旁淋巴结转移
周明宽, 罗程, 庄锦涛, 涂响安()   
  1. 510080 广州,中山大学附属第一医院泌尿外科
  • 收稿日期:2025-12-04 出版日期:2026-04-01
  • 通信作者: 涂响安

Multidisciplinary consultation on difficult cases in Guangdong Urological Association (Phase 28): penile cancer with lymph node metastases in the bilateral inguinal regions and beside the external iliac artery

Mingkuan Zhou, Cheng Luo, Jintao Zhuang, Xiang'an Tu()   

  1. Department of Urology, the First Affiliated Hospital, Sun Yat-sen University, Guangzhou 510080, China
  • Received:2025-12-04 Published:2026-04-01
  • Corresponding author: Xiang'an Tu
引用本文:

周明宽, 罗程, 庄锦涛, 涂响安. 广东省医学会泌尿外科疑难病例多学科会诊(第28期)——阴茎癌并双侧腹股沟、髂外动脉旁淋巴结转移[J/OL]. 中华腔镜泌尿外科杂志(电子版), 2026, 20(02): 231-236.

Mingkuan Zhou, Cheng Luo, Jintao Zhuang, Xiang'an Tu. Multidisciplinary consultation on difficult cases in Guangdong Urological Association (Phase 28): penile cancer with lymph node metastases in the bilateral inguinal regions and beside the external iliac artery[J/OL]. Chinese Journal of Endourology(Electronic Edition), 2026, 20(02): 231-236.

本文报道一例晚期阴茎癌的病例。患者男性,44岁,因"阴茎溃烂3月,漏尿1月余"入院,查体示阴茎远端明显肿大,包皮不能外翻,包皮口溃疡面渗液;右侧腹股沟区可见一大小约4 cm×3 cm包块,质韧,活动度差,双侧腹股沟可触及肿大淋巴结。影像学检查提示阴茎癌并双侧腹股沟区、髂外动脉旁多发淋巴结转移。初步诊断阴茎癌并双侧腹股沟区、髂外动脉旁多发淋巴结转移。经广东省医学会泌尿外科疑难病例多学科会诊(MDT),专家组建议完善全身评估,先行新辅助治疗和免疫治疗,后行阴茎全切术,同期或分期进行腹股沟和盆腔淋巴结清扫,根据术后情况评估是否需要辅助治疗或放疗。告知患者MDT讨论意见,经充分沟通并取得知情同意后,行阴茎部分切除术,术后病理示非人乳头瘤状病毒(HPV)相关性鳞状细胞癌,低分化(肉瘤样鳞状细胞癌)。经4个周期的辅助化疗,淋巴结转移灶明显缓解,行双侧腹股沟淋巴结清扫术,术后定期复查无局部复发及淋巴结复发转移征象。本病例提示,对于晚期阴茎癌,手术治疗联合化疗、免疫治疗等综合治疗模式是提升治疗效果的关键。

This paper reports a case of advanced penile cancer. The patient was a 44-year-old male who was admitted to our hospital due to "penile ulceration for 3 months and urinary leakage for over 1 month." Physical examination revealed significant swelling at the distal end of the penis, with the foreskin being non - retractable and exudate from the ulcerated foreskin opening. A mass about 4 cm×3 cm in size, with a firm texture and poor mobility, was visible in the right inguinal region. Enlarged lymph nodes were palpable in both inguinal regions. Imaging examinations suggested penile cancer with multiple lymph node metastases in the bilateral inguinal regions and beside the external iliac artery. After multidisciplinary consultation by Guangdong Urological Association, the expert group recommended completing a comprehensive assessment of the whole body, followed by neoadjuvant therapy and immunotherapy. Then, a total penectomy should be performed, along with inguinal and pelvic lymph node dissection either simultaneously or in stages. The necessity for adjuvant therapy or radiotherapy would be assessed based on the postoperative situation. The patient was informed of the recommendations. After full communication and obtaining informed consent, a partial penectomy was carried out. The postoperative pathology showed non-HPV-related squamous cell carcinoma, poorly differentiated (sarcomatoid squamous cell carcinoma). Following four cycles of adjuvant chemotherapy, the lymph node metastases were significantly relieved. Subsequently, bilateral inguinal lymph node dissection was performed. Regular follow-up examinations after the operation showed no signs of local recurrence or lymph node recurrence and metastasis. This case indicated that for advanced penile cancer, a comprehensive treatment model combining surgical treatment with chemotherapy, immunotherapy, etc., is the key to significantly improving the therapeutic effect.

图1 阴茎癌患者阴茎肿块及腹股沟区包块注:红色箭头示右侧腹股沟区包块
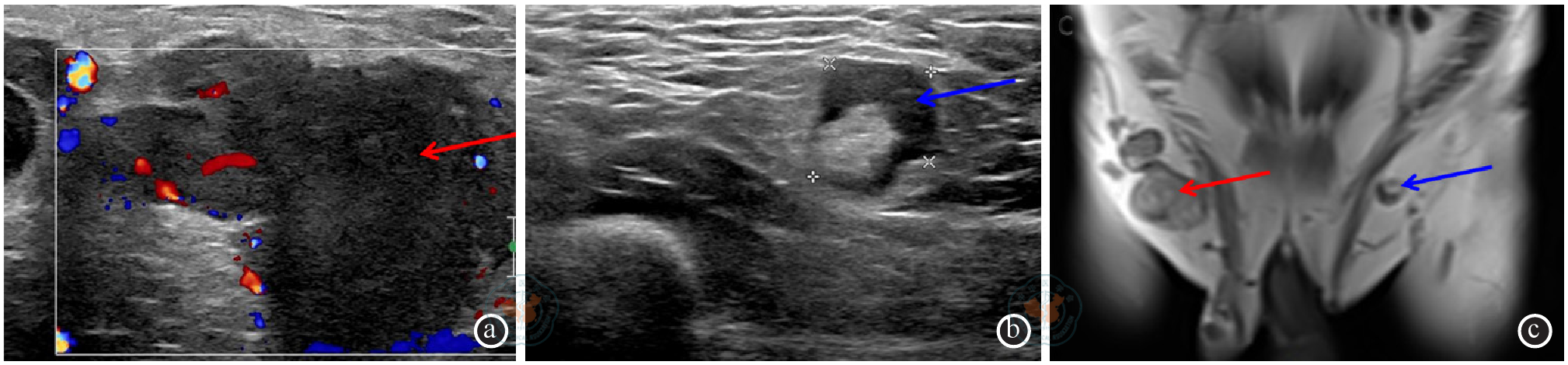
图2 阴茎癌患者影像学检查示双侧腹股沟淋巴结肿大注:红色箭头为右侧腹股沟区融合淋巴结,蓝色箭头为左侧腹股沟区淋巴结
图3 阴茎癌患者行阴茎部分切除术
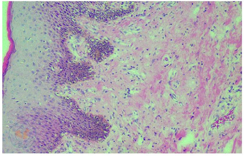
图4 阴茎癌患者肿瘤病理注:图片示鳞状上皮异型增生浸润至上皮下间质,肿瘤基底部细胞呈片状分布,细胞呈梭形、短梭形,胞浆丰富、透亮,异型性明显(HE×400)
图5 阴茎癌患者新辅助治疗后右侧腹股沟区淋巴结明显缩小注:红色箭头示化疗前融合淋巴结,蓝色箭头示化疗后缩小的淋巴结
图6 阴茎癌患者右侧腹股沟区淋巴结病理注:图示淋巴结内可见大量泡沫细胞聚集,伴胆固醇结晶沉积,并见多量吞噬角化物的异物巨细胞散在分布(HE×1 000)
图7 阴茎癌患者术后5个月MRI检查结果注:双侧腹股沟区水肿性改变,未见肿大淋巴结
[1]
Moch H, Cubilla AL, Humphrey PA, et al. The 2016 WHO classification of tumours of the urinary system and male genital organs-part A: renal, penile, and testicular tumours[J]. Eur Urol, 2016, 70(1): 93-105. DOI: 10.1016/j.eururo.2016.02.029.
[2]
Thomas A, Necchi A, Muneer A, et al. Penile cancer[J]. Nat Rev Dis Primers, 2021, 7: 11. DOI: 10.1038/s41572-021-00246-5.
[3]
Brouwer OR, Tagawa ST, Albersen M, et al. EAU-ASCO Penile Cancer Guidelines[J]. 2025.

URL    
[4]
Yao K, Zou ZJ, Li ZS, et al. Fascia Lata preservation during inguinal lymphadenectomy for penile cancer: rationale and outcome[J]. Urology, 2013, 82(3): 642-647. DOI: 10.1016/j.urology.2013.05.021.
[5]
Lont AP, Besnard APE, Gallee MPW, et al. A comparison of physical examination and imaging in determining the extent of primary penile carcinoma[J]. BJU Int, 2003, 91(6): 493-495. DOI: 10.1046/j.1464-410x.2003.04119.x.
[6]
Kayes O, Minhas S, Allen C, et al. The role of magnetic resonance imaging in the local staging of penile cancer[J]. Eur Urol, 2007, 51(5): 1313-1318;discussion1318-9. DOI: 10.1016/j.eururo.2006.11.014.
[7]
Hanchanale V, Yeo L, Subedi N, et al. The accuracy of magnetic resonance imaging (MRI) in predicting the invasion of the Tunica albuginea and the urethra during the primary staging of penile cancer[J]. BJU Int, 2016, 117(3): 439-443. DOI: 10.1111/bju.13041.
[8]
Wood HM, Angermeier KW. Anatomic considerations of the penis, lymphatic drainage, and biopsy of the sentinel node[J]. Urol Clin North Am, 2010, 37(3): 327-334. DOI: 10.1016/j.ucl.2010.04.013.
[9]
黄健.中国泌尿外科和男科疾病诊断治疗指南[M]. 北京: 科学出版社, 2022.
[10]
Agrawal A, Pai D, Ananthakrishnan N, et al. The histological extent of the local spread of carcinoma of the penis and its therapeutic implications[J]. BJU Int, 2000, 85(3): 299-301. DOI: 10.1046/j.1464-410x.2000.00413.x.
[11]
Minhas S, Kayes O, Hegarty P, et al. What surgical resection margins are required to achieve oncological control in men with primary penile cancer?[J]. BJU Int, 2005, 96(7): 1040-1043. DOI: 10.1111/j.1464-410X.2005.05769.x.
[12]
Philippou P, Shabbir M, Malone P, et al. Conservative surgery for squamous cell carcinoma of the penis: resection margins and long-term oncological control[J]. J Urol, 2012, 188(3): 803-808. DOI: 10.1016/j.juro.2012.05.012.
[13]
Djajadiningrat RS, van Werkhoven E, Meinhardt W, et al. Penile sparing surgery for penile cancer-does it affect survival?[J]. J Urol, 2014, 192(1): 120-125. DOI: 10.1016/j.juro.2013.12.038.
[14]
Crook J, Jezioranski J, Cygler JE. Penile brachytherapy: technical aspects and postimplant issues[J]. Brachytherapy, 2010, 9(2): 151-158. DOI: 10.1016/j.brachy.2009.05.005.
[15]
de Crevoisier R, Slimane K, Sanfilippo N, et al. Long-term results of brachytherapy for carcinoma of the penis confined to the Glans (N- or NX)[J]. Int J Radiat Oncol Biol Phys, 2009, 74(4): 1150-1156. DOI: 10.1016/j.ijrobp.2008.09.054.
[16]
Dickstein RJ, Munsell MF, Pagliaro LC, et al. Prognostic factors influencing survival from regionally advanced squamous cell carcinoma of the penis after preoperative chemotherapy[J]. BJU Int, 2016, 117(1): 118-125. DOI: 10.1111/bju.12946.
[17]
Yan R, Ma H, Jiang L, et al. First-line programmed death receptor-1 (PD-1) inhibitor and epidermal growth factor receptor (EGFR) blockade, combined with platinum-based chemotherapy, for stage IV penile cancer[J]. BJU Int, 2023, 131(2): 198-207. DOI: 10.1111/bju.15828.
[18]
An X, Guo SJ, Yan R, et al. Neoadjuvant toripalimab plus nimotuzumab combined with taxol-based chemotherapy in locally advanced penile squamous cell carcinoma[J]. Cancer Cell, 2025, 43(5): 970-980.e3. DOI: 10.1016/j.ccell.2025.03.023.
[19]
Xiong L, Shan X, Ma H, et al. First-line PD-1 blockade combined with chemotherapy for stage IV penile squamous cell carcinoma: a multicenter retrospective study[J]. J Natl Compr Cancer Netw, 2024, 23(1):e247074. DOI: 10.6004/jnccn.2024.7074.
[20]
Marchioni M, Berardinelli F, De Nunzio C, et al. New insight in penile cancer[J]. Minerva Urol Nefrol, 2018, 70(6): :559-569. DOI: 10.23736/s0393-2249.18.03215-0.
[1] 孙舒涵, 陈雅静, 宗晴晴, 栗翠英, 缪殊妹, 杨斌, 俞飞虹. 基于超声的深度学习列线图预测乳腺癌新辅助化疗后腋窝淋巴结状态的研究[J/OL]. 中华医学超声杂志(电子版), 2025, 22(02): 97-105.
[2] 洪玮, 叶细容, 刘枝红, 杨银凤, 吕志红. 超声影像组学联合临床病理特征预测乳腺癌新辅助化疗完全病理缓解的价值[J/OL]. 中华医学超声杂志(电子版), 2024, 21(06): 571-579.
[3] 王锐, 马得原, 韩晶, 金转梅, 张凤竹, 王玉凤, 关泉林. HER-2低表达的年轻乳腺癌患者新辅助化疗疗效影响因素及其预测模型构建[J/OL]. 中华乳腺病杂志(电子版), 2025, 19(04): 211-217.
[4] 柴效科, 周海存, 杨涛, 卫翀羿, 魏赟, 张旭, 隆建萍. HER-2状态与AR/p53/Ki-67表达对三阴性乳腺癌新辅助化疗疗效及预后的影响[J/OL]. 中华乳腺病杂志(电子版), 2025, 19(02): 84-91.
[5] 阎昊铮, 黄玥, 李征宇. 晚期上皮性卵巢癌手术复杂度与术后肿瘤残留病灶及并发症的相关性分析[J/OL]. 中华妇幼临床医学杂志(电子版), 2025, 21(04): 403-410.
[6] 侯世豪, 许杰, 田蓓敏, 陈发明, 张曦予. Ⅲ期C级牙周炎合并畸形舌侧沟患者的牙周-牙体-正畸多学科治疗[J/OL]. 中华口腔医学研究杂志(电子版), 2025, 19(04): 256-263.
[7] 王思竣, 王琼, 李珂雨, 袁新普, 张硕珉, 马睿, 谢天宇, 张朝军. 胃上部癌新辅助化疗联合免疫治疗后实施近端胃切除术的临床疗效分析[J/OL]. 中华普外科手术学杂志(电子版), 2025, 19(06): 637-641.
[8] 王达, 朱建敏. 血小板/淋巴细胞计数比值对乳腺癌新辅助化疗疗效的预测效能[J/OL]. 中华普外科手术学杂志(电子版), 2025, 19(06): 650-653.
[9] 杨娜, 胡刚, 潘越. 保乳术和改良根治术后行新辅助化疗对三阴性乳腺癌血清标志物影响[J/OL]. 中华普外科手术学杂志(电子版), 2025, 19(03): 345-348.
[10] 何友新, 韩林荟, 杨贺庆. 新辅助化疗分别联合保乳术和改良根治术治疗Ⅱ、Ⅲ期乳腺癌的应用效果[J/OL]. 中华普外科手术学杂志(电子版), 2025, 19(02): 184-187.
[11] 罗成燕, 袁琳, 周树林, 姜旖, 陈婷, 王聪, 程文俊. 腹腔镜下间歇性肿瘤细胞减灭术在晚期卵巢癌的临床应用[J/OL]. 中华腔镜外科杂志(电子版), 2024, 17(06): 339-345.
[12] 王春茂, 韩鸣, 王子彤. 局限期小细胞肺癌新辅助治疗后完全病理学缓解五例[J/OL]. 中华临床医师杂志(电子版), 2025, 19(07): 550-554.
[13] 闫杏丽, 李一帆, 叶书文, 李鑫, 张玉元, 李臻. 综合介入治疗晚期巨大阴茎癌一例[J/OL]. 中华介入放射学电子杂志, 2025, 13(03): 275-278.
[14] 庞心念, 蒋添, 徐贝贝, 杨天瑶, 李伟, 陈禄凑. 超声特征联合临床病理早期预测乳腺癌新辅助化疗疗效的应用价值[J/OL]. 中华诊断学电子杂志, 2025, 13(02): 89-96.
[15] 吕会来, 刘宇, 李嘉宸, 盖春月, 王明博, 许石, 丁炜禄, 朱永刚, 李振华, 田子强. 食管鳞癌新辅助化疗联合免疫治疗后基于增强CT的临床完全缓解与病理完全缓解相关性分析:一项单中心回顾性研究[J/OL]. 中华胸部外科电子杂志, 2025, 12(03): 136-143.
阅读次数
全文


摘要


AI


AI小编
你好!我是《中华医学电子期刊资源库》AI小编,有什么可以帮您的吗?