切换至 "中华医学电子期刊资源库"

中华腔镜泌尿外科杂志(电子版) ›› 2023, Vol. 17 ›› Issue (02) : 183 -185. doi: 10.3877/cma.j.issn.1674-3253.2023.02.018

病例报告

孤肾合并肾炎性肌纤维母细胞瘤一例并文献复习
薛国强1,2,3,4, 常德辉2,(), 张春雷2, 康印东2, 张斌2, 杨琦2, 杨晓春5   
  1. 1. 730000 兰州,甘肃中医药大学第一临床医学院
    2. 730050 兰州,解放军联勤保障部队第九四〇医院泌尿外科
    3. 730000 兰州,甘肃省第二人民医院泌尿外科
    4. 730050 兰州,甘肃省干细胞与基因药物重点实验室
    5. 730000 兰州,甘肃省人民医院泌尿外科
  • 收稿日期:2022-03-01 出版日期:2023-04-01
  • 通信作者: 常德辉
  • 基金资助:
    甘肃省卫生健康行业科研计划项目(GSWSKY2020-71)联勤保障部队第九四〇医院院内资助项目(2021yxky041)

Guoqiang Xue, Dehui Chang(), Chunlei Zhang, Yindong Kang, Bin Zhang, Qi Yang, Xiaochun Yang   

  • Received:2022-03-01 Published:2023-04-01
  • Corresponding author: Dehui Chang
引用本文:

薛国强, 常德辉, 张春雷, 康印东, 张斌, 杨琦, 杨晓春. 孤肾合并肾炎性肌纤维母细胞瘤一例并文献复习[J/OL]. 中华腔镜泌尿外科杂志(电子版), 2023, 17(02): 183-185.

Guoqiang Xue, Dehui Chang, Chunlei Zhang, Yindong Kang, Bin Zhang, Qi Yang, Xiaochun Yang. [J/OL]. Chinese Journal of Endourology(Electronic Edition), 2023, 17(02): 183-185.

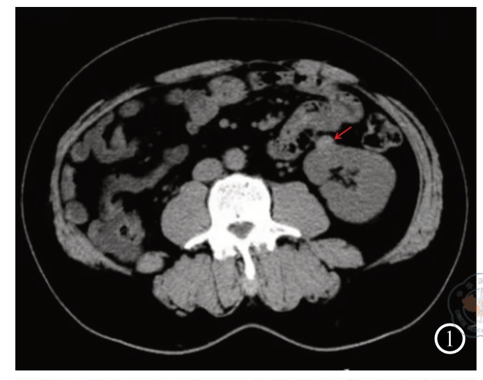
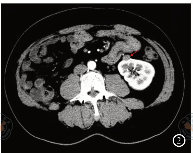
图1 孤肾合并肾炎性肌纤维母细胞瘤患者术前CT平扫
图2 孤肾合并肾炎性肌纤维母细胞瘤患者术前CT增强扫描
图3 肾炎性肌纤维母细胞瘤大体标本
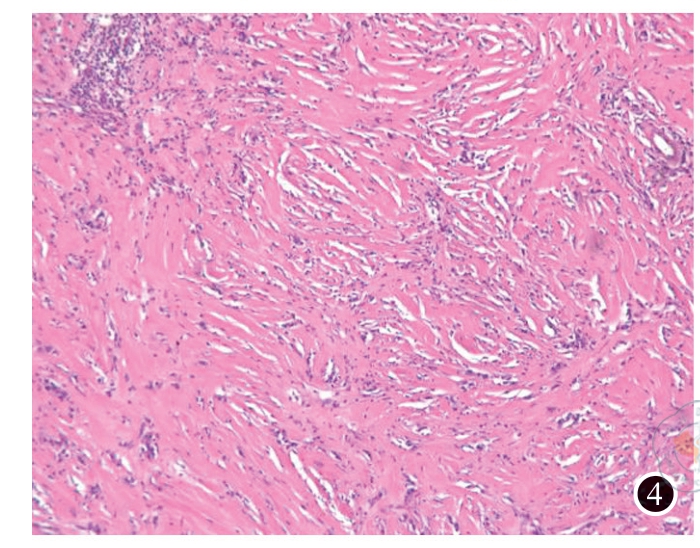
图4 肾炎性肌纤维母细胞瘤病理切片(HE ×10)
图5 肾炎性肌纤维母细胞瘤免疫组化(SMA ×20)
图6 肾炎性肌纤维母细胞瘤免疫组化(Desmin ×200)
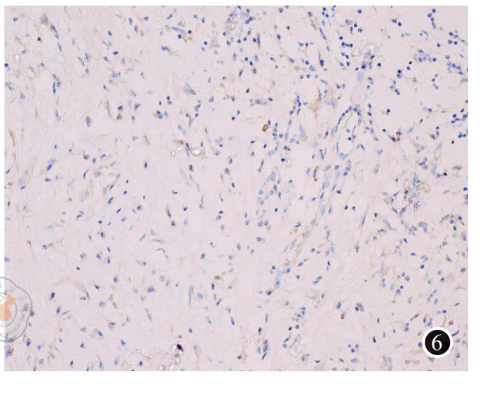
图7 肾炎性肌纤维母细胞瘤免疫组化(MSA×200) 注:图1中左肾下极可见一结节样密度增高影,凸向肾脏轮廓外,大小约 1.4 cm×1.1 cm(箭头所指)。图2可见左肾下极病变各期呈持续强化,边缘光滑(箭头所指)。图3可见肿瘤大小约为1.5 cm×1.1 cm×1.1 cm,切面灰白色,实性,质地中等。图4可见肾脏组织中见梭形细胞肿瘤,肿瘤细胞由纤维母细胞及肌纤维母细胞构成,细胞无明显异型性,呈束状、交织状排列,部分玻璃样变,淋巴细胞、浆细胞及组织细胞灶状聚集。图5可见肾炎性肌纤维母细胞瘤肿瘤细胞SMA呈阳性表达。图6可见肾炎性肌纤维母细胞瘤肿瘤细胞Desmin呈阳性表达。图7可见肾炎性肌纤维母细胞瘤肿瘤细胞MSA呈阳性表达
[1]
Panagiotopoulos N, Patrini D, Gvinianidze L, et al. Inflammatory myofibroblastic tumour of the lung: a reactive lesion or a true neoplasm?[J]. J Thorac Dis, 2015, 7(5): 908-911.
[2]
Inamura K, Kobayashi M, Nagano H, et al. A novel fusion of HNRNPA1-ALK in inflammatory myofibroblastic tumor of urinary bladder. Hum Pathol, 2017, 69: 96-100.
[3]
Abduljawad H, Aslan A, Aldoseri K, et al. Rare presentation of inflammatory myofibroblastic tumor in the kidney[J]. Radiol Case Rep, 2020, 15(8): 1266-1270.
[4]
Bai YF, Liu JZ, Yue LN, et al. Child inflammatory myofibroblastic tumor of the kidney misdiagnosed as Wilms' tumor: case report[J].Radiol Case Rep, 2022, 17(12): 4920-4923.
[5]
Tareen B, Faith H, Waheed A, et al. Anaplastic Lymphoma Kinase(ALK)-Negative Inflammatory Myofibroblastic Tumor of the Kidney in a Nine-Month-Old Girl[J]. Cureus, 2022,14(3):e23289.
[6]
Bahadori M, Liebow AA. Plasma cell granulomas of the lung[J].Cancer, 1973, 31(1): 191-208.
[7]
张红双, 段宗好. 前列腺炎症性肌纤维母细胞瘤一例报道并文献复习[J/OL]. 中华腔镜泌尿外科杂志(电子版), 2013, 7(06): 464-467.
[8]
Ivanov AS, Antonov PA, Chitalov ZR. Renal inflammatory myofibroblastic tumor: A case report[J]. Urol Case Rep, 2021, 37:101620.
[9]
Zhu T, Gao P, Gao J, et al. A huge recurrent retroperitoneal inflammatory myofibroblastic tumor implicating renal and ureter: a case report[J]. Transl Cancer Res, 2021, 10(10): 4565-4570.
[10]
金亦, 唐录英, 刘勇, 等. 肾炎症性肌纤维母细胞瘤临床病理分析[J/OL]. 中华腔镜泌尿外科杂志(电子版), 2011, 05(6): 477-480.
[11]
Zhang GH, Guo XY, Liang GZ, et al. Kidney inflammatory myofibroblastic tumor masquerading as metastatic malignancy:A case report and literature review[J]. World J Clin Cases, 2019,7(24): 4366-4376.
[12]
李法平, 郭辉, 金美善, 等. 输尿管炎性肌纤维母细胞瘤一例[J/OL]. 中华腔镜泌尿外科杂志(电子版), 2017, 11(2): 62-63.
[13]
Zeng XW, Qin GG, Huang HY, et al. Corrigendum to "the clinical and radiological characteristics of inflammatory myofibroblastic tumor occurring at unusual sites[J]. Biomed Res Int, 2020, 2020:1831650.
[14]
Debonis SA, Bongiovanni A, Pieri F, et al. ALK-negative lung inflammatory myofibroblastic tumor in a young adult: A case report and literature review of molecular alterations[J]. Medicine(Baltimore), 2021, 100(20): e25972.
[1] 李庆贺, 张家耀, 樊斌, 王宇. 垂体肿瘤转化因子1和Ten-eleven转运因子1在肝细胞癌中的表达及相关性分析[J/OL]. 中华普通外科学文献(电子版), 2021, 15(01): 18-22.
[2] 蔡曼妮, 韩向阳, 黄咏东, 何周桃, 王裕宣, 张东艳, 颜超, 刘宁. 假性蛋白激酶3在结肠息肉癌变过程中的表达意义[J/OL]. 中华普通外科学文献(电子版), 2020, 14(06): 439-442.
[3] 胡宁宁, 赵延荣, 王栋, 王胜亮, 郭源. FMNL3与肝细胞癌肝移植受者预后的相关性研究[J/OL]. 中华移植杂志(电子版), 2024, 18(05): 283-288.
[4] 司钦亮, 毕世龙, 焦慧骁, 李世照, 陈哲禹, 武玉东. 精索去分化脂肪肉瘤两例并文献复习[J/OL]. 中华腔镜泌尿外科杂志(电子版), 2024, 18(06): 585-590.
[5] 王华, 曹素娥, 吴建杰, 狄金明. 膀胱炎性肌纤维母细胞瘤四例诊治报告并文献复习[J/OL]. 中华腔镜泌尿外科杂志(电子版), 2024, 18(06): 547-552.
[6] 董翔, 马文亮, 纪长威, 李笑弓, 张古田, 甘卫东, 郭宏骞. 回顾性评估肾细胞癌假包膜状态及其影响因素[J/OL]. 中华腔镜泌尿外科杂志(电子版), 2023, 17(04): 356-360.
[7] 罗桓, 王智园, 杨莹, 张映林, 黎贵芸, 李方方, 边莉. 胸壁黏液炎性纤维母细胞肉瘤一例[J/OL]. 中华肺部疾病杂志(电子版), 2023, 16(01): 128-131.
[8] 梁海胜, 纪律. 肺癌患者3.0T MRI和PET/CT影像学特征与其肿瘤不同病理特征分析[J/OL]. 中华肺部疾病杂志(电子版), 2020, 13(05): 693-695.
[9] 朱大庆, 郭刚, 邵雪, 顾良友, 王毅. 腹腔镜"蘑菇状"剜除术治疗外生性肾血管平滑肌脂肪瘤的临床应用[J/OL]. 中华腔镜外科杂志(电子版), 2020, 13(04): 218-222.
[10] 许良媛, 马建民. 眼眶炎性肌纤维母细胞瘤的临床和基础研究进展[J/OL]. 中华眼科医学杂志(电子版), 2022, 12(05): 310-315.
[11] 黄文鹏, 李莉明, 薛桐, 刘肖楠, 耿尚文, 刘晨晨, 高剑波. 消化系统和腹膜腔炎性肌纤维母细胞瘤的CT表现与病理对照[J/OL]. 中华消化病与影像杂志(电子版), 2022, 12(03): 133-137.
[12] 牛文博, 吴凤鹏, 刘月平, 周超熙, 张娟, 胡旭华, 李保坤, 王贵英. 新辅助放化疗对局部进展期直肠癌疗效及肿瘤免疫微环境变化的研究[J/OL]. 中华临床医师杂志(电子版), 2023, 17(05): 519-523.
[13] 汪泉, 周英妹, 何颖. p27、cyclin-E在子宫内膜异位症中的表达及其临床意义[J/OL]. 中华临床医师杂志(电子版), 2022, 16(06): 546-552.
[14] 刘兆全, 张芳芳, 宋洪浩, 王刚, 崔明宇. 儿童腹腔炎性肌纤维母细胞瘤的诊断学特征并文献复习[J/OL]. 中华诊断学电子杂志, 2024, 12(02): 101-106.
[15] 卢晓云, 俞姝含, 吴泽宇, 张其德, 吴沛瑶. CCR2、CCL2、Foxp3在结肠癌组织中的表达及其临床意义[J/OL]. 中华胃肠内镜电子杂志, 2023, 10(01): 52-56.
阅读次数
全文


摘要


AI


AI小编
你好!我是《中华医学电子期刊资源库》AI小编,有什么可以帮您的吗?