切换至 "中华医学电子期刊资源库"

中华腔镜泌尿外科杂志(电子版) ›› 2026, Vol. 20 ›› Issue (01) : 117 -122. doi: 10.3877/cma.j.issn.1674-3253.2026.01.018

MDT精选病例

广东省医学会泌尿外科疑难病例多学科会诊(第24期)——膀胱憩室癌
许鹏, 邓一鸣, 张兴超, 莫益鑫, 郑炯文, 陈春晓, 郭凯, 徐啊白()   
  1. 510260 广州,南方医科大学珠江医院
  • 收稿日期:2025-11-17 出版日期:2026-02-01
  • 通信作者: 徐啊白
  • 基金资助:
    国家自然科学基金中德合作交流项目(M-0299); 广东省基础与应用基础研究基金(2023A1515220009); 广州地区临床重大技术项目(2024PL-ZD01); 南方医科大学珠江医院院长基金(yzjj2023Zb01)

Multidisciplinary consultation on difficult cases in Guangdong Urological Association (Phase 24): bladder diverticulum carcinoma

Peng Xu, Yiming Deng, Xingchao Zhang, Yixin Mo, Jiongwen Zheng, Chunxiao Chen, Kai Guo, Abai Xu()   

  1. Department of Urology, Zhujiang Hospital of Southern Medical University, Guangzhou 510260, China
  • Received:2025-11-17 Published:2026-02-01
  • Corresponding author: Abai Xu
引用本文:

许鹏, 邓一鸣, 张兴超, 莫益鑫, 郑炯文, 陈春晓, 郭凯, 徐啊白. 广东省医学会泌尿外科疑难病例多学科会诊(第24期)——膀胱憩室癌[J/OL]. 中华腔镜泌尿外科杂志(电子版), 2026, 20(01): 117-122.

Peng Xu, Yiming Deng, Xingchao Zhang, Yixin Mo, Jiongwen Zheng, Chunxiao Chen, Kai Guo, Abai Xu. Multidisciplinary consultation on difficult cases in Guangdong Urological Association (Phase 24): bladder diverticulum carcinoma[J/OL]. Chinese Journal of Endourology(Electronic Edition), 2026, 20(01): 117-122.

本文报道一例膀胱憩室癌患者的诊疗过程。患者因反复肉眼血尿于2023年5月就诊于当地医院,影像学检查提示膀胱右侧壁憩室肿物,膀胱镜活检病理为高级别非浸润性乳头状尿路上皮癌。患者接受开放膀胱部分切除术,术后病理提示为肌层浸润性尿路上皮癌,但未接受进一步治疗。术后患者至我院就诊,复查增强CT、MRI及膀胱镜均未发现明确肿瘤残留。但经文献回顾,结合围手术期资料,且不除外肿瘤外侵可能,建议行根治性膀胱切除术,但患者保膀胱意愿强烈,遂接受特瑞普利单抗免疫治疗3个周期。同年9月复查,常规影像学提示膀胱右侧壁增厚并强化。经广东省医学会泌尿外科疑难病例多学科会诊,意见为:综合检查结果,不能排除肿瘤残留及淋巴结转移;患者诊断为高级别膀胱憩室癌,恶性程度高,可能存在早期膀胱壁层侵犯,不符合保膀胱治疗推荐指征,且免疫治疗后仍有进展迹象。因此,建议完善PET-CT检查,并尽快行根治性膀胱切除术,后续治疗(包括放疗、化疗、免疫治疗)需依据术后病理决定,并保持密切随访。患者经慎重考虑后返院接受机器人辅助腹腔镜下根治性膀胱切除术。术中见右侧盆腔广泛粘连呈冰冻骨盆表现,冰冻病理提示右侧盆腔淋巴结转移及盆壁受侵,遂行回肠膀胱术。术后免疫组化病理确诊膀胱区域尿路上皮原位癌,伴盆腔淋巴结及盆壁转移。膀胱憩室癌患者术后复发可能不在局部,甚至伴有远处转移可能,保膀胱治疗需选择合适、有优势的患者,不能盲目追求保膀胱。

This article reports the diagnosis and treatment process of a patient with bladder diverticulum carcinoma. The patient presented to a local hospital in May 2023 with recurrent gross hematuria. Imaging studies suggested a mass in the diverticulum of the right bladder wall, and cystoscopic biopsy pathology revealed high-grade non-invasive papillary urothelial carcinoma. The patient underwent open partial cystectomy. Postoperative pathology indicated muscle-invasive urothelial carcinoma, but no further treatment was received initially. Subsequently, the patient visited our hospital, repeated contrast-enhanced CT, MRI, and cystoscopy showed no definite evidence of residual tumor. However, based on literature review, perioperative data, and the possibility of extravesical extension not being ruled out, radical cystectomy was recommended. But the patient strongly desired bladder preservation and therefore received three cycles of immunotherapy with toripalimab. Follow-up examination in September of the same year revealed thickening and enhancement of the right bladder wall on routine imaging. A multidisciplinary consultation on difficult cases in Guangdong Urological Association was conducted, the experts suggested that based on the comprehensive examination results, residual tumor and lymph node metastasis could not be excluded. The diagnosis was high-grade bladder diverticulum carcinoma, which is highly malignant and may involve early invasion of the bladder wall layers. The case did not meet the recommended criteria for bladder-preserving therapy, and there were signs of progression even after immunotherapy. Therefore, it was recommended to perform a PET-CT scan and proceed with radical cystectomy as soon as possible. Subsequent treatment (including radiotherapy, chemotherapy, or immunotherapy) would depend on the postoperative pathology, and close follow-up was necessary. After careful consideration, the patient returned to the hospital and underwent robot-assisted laparoscopic radical cystectomy. Intraoperatively, a frozen pelvis was found on the right side, and frozen section pathology confirmed metastasis to the right pelvic lymph nodes and invasion of the pelvic wall. An ileal conduit urinary diversion was subsequently performed. Postoperative immunohistochemical pathology confirmed regional urothelial carcinoma in situ of the bladder, with metastasis to the pelvic lymph nodes and pelvic wall. This case suggests that postoperative recurrence in bladder diverticulum carcinoma may not be local and could involve distant metastasis. Bladder-preserving therapy should be reserved for selected, suitable patients with favorable profiles, and should not be pursued blindly.

图1 膀胱憩室癌患者初诊时影像学检查及膀胱部分切除术后病理注:a为CT检查示膀胱右侧空占位;b为MRI检查示膀胱右侧壁不规则增厚并肿块形成;c为活检病理示浸润性尿路上皮癌(HE×200);箭头示病灶
图2 膀胱憩室癌患者膀胱部分切除术后影像学检查及活检病理注:a示膀胱部分切除术后CT影像,无明显异常结节及肿块;b为MRI膀胱右上壁线样张化(箭头示);c为复查膀胱镜检未见明显肿瘤;d为术区附近活检病理未见肿瘤残留(HE×200)
图3 膀胱憩室癌患者免疫治疗3疗程后影像学检查结果注:a示肿大淋巴结,b示膀胱右侧壁增厚;c示前上壁增厚;箭头示病灶
图4 机器人辅助腹腔镜下膀胱根治性切除术+回肠膀胱术注:术中见右侧盆腔淋巴结及盆壁组织受癌组织侵犯(a为左侧盆腔对照)
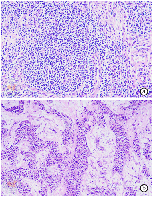
图5 膀胱憩室癌患者右侧盆腔淋巴结(a)及盆壁组织转移(b)注:图片为HE染色×200
[1]
Fonti R, Conson M, Del Vecchio S. PET/CT in radiation oncology[J]. Semin Oncol, 2019, 46(3): 202-209. DOI: 10.1053/j.seminoncol.2019.07.001.
[2]
侯桐欣, 高宇, 王晞星, 等. 膀胱癌患者329例中医症状与证候要素分布规律[J]. 中华中医药杂志, 2025, 40(4): 1992-1997.
[3]
Lu YY, Chen JH, Liang JA, et al. Clinical value of FDG PET or PET/CT in urinary bladder cancer: a systemic review and meta-analysis[J]. Eur J Radiol, 2012, 81(9): 2411-2416. DOI: 10.1016/j.ejrad.2011.07.018.
[4]
Kong MX, Zhao X, Kheterpal E, et al. Histopathologic and clinical features of vesical diverticula[J]. Urology, 2013, 82(1): 142-147. DOI: 10.1016/j.urology.2013.02.015.
[5]
李凤陈, 王浩, 陈雯, 等. 膀胱憩室癌的诊治现状[J]. 癌症进展, 2017, 15(6): 611-613. DOI: 10.11877/j.issn.1672-1535.2017.15.06.03.
[6]
Walker NF, Gan C, Olsburgh J, et al. Diagnosis and management of intradiverticular bladder tumours[J]. Nat Rev Urol, 2014, 11(7): 383-390. DOI: 10.1038/nrurol.2014.131.
[7]
王捷. 根治性膀胱切除术治疗非肌层浸润性膀胱癌患者预后影响因素研究[D]. 南充: 川北医学院, 2024. DOI: 10.27755/d.cnki.gcbyx.2024.000519.
[8]
徐伟民, 郭子臣, 杨跃军, 等. 特瑞普利单抗联合顺铂化疗治疗晚期膀胱恶性肿瘤的临床疗效观察[C]//2025精神医学与心理健康系列研讨会论文集.重庆, 2025: 1526-1528. DOI: 10.26914/c.cnkihy.2025.015002.
[9]
El-Achkar A, Souhami L, Kassouf W. Bladder preservation therapy: review of literature and future directions of trimodal therapy[J]. Curr Urol Rep, 2018, 19(12): 108. DOI: 10.1007/s11934-018-0859-z.
[10]
Giacalone NJ, Shipley WU, Clayman RH, et al. Long-term outcomes after bladder-preserving tri-modality therapy for patients with muscle-invasive bladder cancer: an updated analysis of the Massachusetts general hospital experience[J]. Eur Urol, 2017, 71(6): 952-960. DOI: 10.1016/j.eururo.2016.12.020.
[11]
Sargos P, Baumann BC, Eapen L, et al. Risk factors for loco-regional recurrence after radical cystectomy of muscle-invasive bladder cancer: a systematic-review and framework for adjuvant radiotherapy[J]. Cancer Treat Rev, 2018, 70: 88-97. DOI: 10.1016/j.ctrv.2018.07.011.
[12]
Witjes JA, Bruins HM, Cathomas R, et al. European association of urology guidelines on muscle-invasive and metastatic bladder cancer: summary of the 2020 guidelines[J]. Eur Urol, 2021, 79(1): 82-104. DOI: 10.1016/j.eururo.2020.03.055.
[13]
尚毫杰.负载R848的热响应性脂质纳米颗粒在增强膀胱癌免疫治疗效果中的作用研究[D].武汉:华中科技大学,2024.DOI:10.27157/d.cnki.ghzku.2024.000310.
[14]
Li K, Lin T, Xue W, et al. Current status of diagnosis and treatment of bladder cancer in China - Analyses of Chinese Bladder Cancer Consortium database[J]. Asian J Urol, 2015, 2(2): 63-69. DOI: 10.1016/j.ajur.2015.04.016.
[15]
李银.新辅助化疗联合免疫治疗在膀胱癌治疗中的疗效探索及安全性分析[D]. 昆明:昆明医科大学,2024.DOI:10.27202/d.cnki.gkmyc.2024.001366.
[16]
刘金辉. IBC新辅助免疫、化疗、免疫联合化疗的疗效与安全性比较[D].长沙: 中南大学, 2023. DOI: 10.27661/d.cnki.gzhnu.2023.001679.
[17]
张志华, 陈雅童, 罗飞, 等. 新辅助放疗联合cTURBT和辅助化疗治疗直径≥3 cm的T2期MIBC的疗效与安全性[J]. 现代泌尿生殖肿瘤杂志, 2024, 16(4): 223-228. DOI: 10.3870/j.issn.1674-4624.2024.04.006.
[18]
Ploussard G, Daneshmand S, Efstathiou JA, et al. Critical analysis of bladder sparing with trimodal therapy in muscle-invasive bladder cancer: a systematic review[J]. Eur Urol, 2014, 66(1): 120-137. DOI: 10.1016/j.eururo.2014.02.038.
[19]
Efstathiou JA, Bae K, Shipley WU, et al. Late pelvic toxicity after bladder-sparing therapy in patients with invasive bladder cancer: RTOG 89-03, 95-06, 97-06, 99-06[J]. J Clin Oncol, 2009, 27(25): 4055-4061. DOI: 10.1200/JCO.2008.19.5776.
[20]
Pieretti A, Krasnow R, Drumm M, et al. Complications and outcomes of salvage cystectomy after trimodality therapy[J]. J Urol, 2021, 206(1): 29-36. DOI: 10.1097/JU.0000000000001696.
[21]
Eswara JR, Efstathiou JA, Heney NM, et al. Complications and long-term results of salvage cystectomy after failed bladder sparing therapy for muscle invasive bladder cancer[J]. J Urol, 2012, 187(2): 463-468. DOI: 10.1016/j.juro.2011.09.159.
[22]
Soukup V, Babjuk M, Bellmunt J, et al. Follow-up after surgical treatment of bladder cancer: a critical analysis of the literature[J]. Eur Urol, 2012, 62(2): 290-302. DOI: 10.1016/j.eururo.2012.05.008.
[23]
Shou J, Zhang Q, Zhang D. The prognostic effect of metastasis patterns on overall survival in patients with distant metastatic bladder cancer: a SEER population-based analysis[J]. World J Urol, 2021, 39(11): 4151-4158. DOI: 10.1007/s00345-021-03721-6.
[24]
Khalil MI, Alliston JT, Bauer-Erickson JJ, et al. Organ-sparing procedures in GU cancer: part 3-organ-sparing procedures in urothelial cancer of upper tract, bladder and urethra[J]. Int Urol Nephrol, 2019, 51(11): 1903-1911. DOI: 10.1007/s11255-019-02232-z.
[25]
Mazza P, Moran GW, Li G, et al. Conservative management following complete clinical response to neoadjuvant chemotherapy of muscle invasive bladder cancer: contemporary outcomes of a multi-institutional cohort study[J]. J Urol, 2018, 200(5): 1005-1013. DOI: 10.1016/j.juro.2018.05.078.
[1] 李雨秋, 莫红楠. 乳腺癌肿瘤微环境特征及免疫治疗新进展[J/OL]. 中华乳腺病杂志(电子版), 2025, 19(06): 331-338.
[2] 钱龙, 蔡大明, 王行舟, 艾世超, 胡琼源, 孙锋, 宋鹏, 王峰, 王萌, 陆晓峰, 朱欢欢, 沈晓菲, 管文贤. 局部不可切除胃癌转化治疗(联合免疫治疗)后淋巴结转移的相关危险因素分析[J/OL]. 中华普外科手术学杂志(电子版), 2025, 19(06): 624-627.
[3] 王思竣, 王琼, 李珂雨, 袁新普, 张硕珉, 马睿, 谢天宇, 张朝军. 胃上部癌新辅助化疗联合免疫治疗后实施近端胃切除术的临床疗效分析[J/OL]. 中华普外科手术学杂志(电子版), 2025, 19(06): 637-641.
[4] 王嘉民, 刘平. 广东省医学会泌尿外科疑难病例多学科会诊(第27期)——肾移植术后原发膀胱癌[J/OL]. 中华腔镜泌尿外科杂志(电子版), 2025, 19(06): 809-814.
[5] 李瑞芳, 王明帅, 邢念增. 循环肿瘤细胞在膀胱癌诊断和预后中的应用进展[J/OL]. 中华腔镜泌尿外科杂志(电子版), 2025, 19(06): 705-713.
[6] 俞颖倩, 徐兴祥. 淋巴结转移与非转移对原发性支气管肺癌免疫微环境及免疫治疗的影响[J/OL]. 中华肺部疾病杂志(电子版), 2025, 18(06): 1027-1030.
[7] 李才坤, 张又红, 肖斌彬, 温盼, 刘醒, 刘志栋, 周剑辉, 温春玲, 叶劲, 严恒琛. 三维斑点追踪在肺癌患者免疫治疗后左心房功能损害评价的应用[J/OL]. 中华肺部疾病杂志(电子版), 2025, 18(05): 821-823.
[8] 骆鑫源, 王元昕, 周远畅, 陈可蕙, 李泽歆, 张基旺, 张磊升, 郑朝晖. 纳米材料在增强自然杀伤细胞靶向治疗中的应用研究进展[J/OL]. 中华细胞与干细胞杂志(电子版), 2025, 15(05): 312-320.
[9] 张宇涵, 吴添庆, 高汶卿, 郑梽楷, 贺珉睿, 周仲国. 不可切除性肝内胆管癌不同治疗方式疗效和安全性的Meta分析[J/OL]. 中华肝脏外科手术学电子杂志, 2025, 14(06): 939-947.
[10] 许侨东, 马志延, 冯庚壬, 钟海彬, 刘坚锐, 古松钢. 肝肺多发性原发性癌转化治疗后行腹腔镜肝右前叶切除术一例(附视频)[J/OL]. 中华肝脏外科手术学电子杂志, 2025, 14(06): 973-976.
[11] 胡铭语, 李敬东, 肖雨竹, 黄杰. 初始不可切除肝癌患者转化治疗序贯手术的临床疗效分析[J/OL]. 中华肝脏外科手术学电子杂志, 2025, 14(05): 754-760.
[12] 宋柯瑾, 李文星. 肿瘤相关中性粒细胞在结直肠癌中的双重调控作用及临床意义[J/OL]. 中华结直肠疾病电子杂志, 2025, 14(06): 546-551.
[13] 赵南, 张明凯, Bhargava Divija, 赵世光, 张大明. 结直肠癌脑转移的临床特征与治疗策略进展[J/OL]. 中华结直肠疾病电子杂志, 2025, 14(05): 427-435.
[14] 王春茂, 韩鸣, 王子彤. 局限期小细胞肺癌新辅助治疗后完全病理学缓解五例[J/OL]. 中华临床医师杂志(电子版), 2025, 19(07): 550-554.
[15] 侯雨函, 姜福金, 王苏贵. 膀胱癌免疫治疗的研究进展[J/OL]. 中华临床医师杂志(电子版), 2025, 19(06): 471-475.
阅读次数
全文


摘要


AI


AI小编
你好!我是《中华医学电子期刊资源库》AI小编,有什么可以帮您的吗?