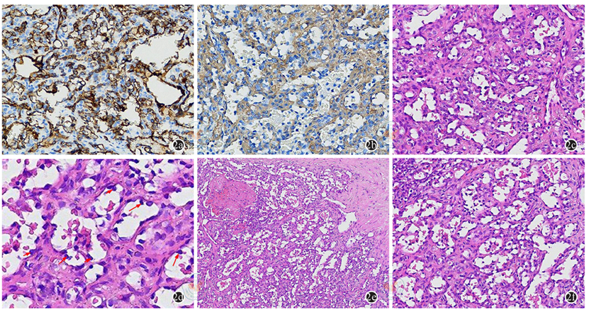
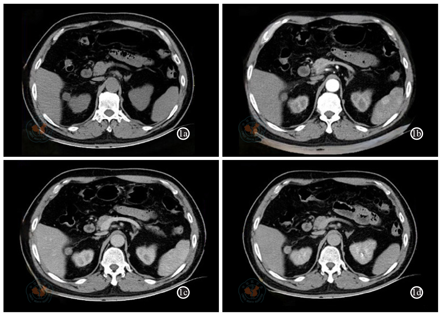
| [1] |
Montgomery E, Epstein JI. Anastomosing hemangioma of the genitourinary tract: a lesion mimicking angiosarcoma[J]. Am J Surg Pathol, 2009, 33(9):1364-1369.
|
| [2] |
Tahir M, Folwell A. Anastomosing haemangioma of kidney: a rare subtype of vascular tumour of the kidney mimicking angiosarcoma[J]. ANZ J Surg, 2016, 86(10): 838-839.
|
| [3] |
Perdiki M, Datseri D, Liapis G, et al. Anastomosing hemangioma: report of two renal cases and analysis of the literature[J]. Diagn Pathol, 2017, 12(1): 14.
|
| [4] |
Tran TAN, Linos K, Carlson JA, et al. A primary cutaneous vascular neoplasm with histologic features of anastomosing hemangioma[J]. J Cutan Pathol, 2019, 46(2): 353-357.
|
| [5] |
Dundr P, Nemejcova K, Laco J, et al. Anastomosing hemangioma of the ovary: a clinicopathological study of six cases with stromal luteinization[J]. Pathol Oncol Res, 2017, 23(4): 717-722.
|
| [6] |
Berker N, Bayram A, Tas S, et al. Comparison of renal anastomosing hemangiomas in end-stage and non-end-stage kidneys: a meta-analysis with a report of 2 cases[J]. Int J Surg Pathol, 2017, 25(6): 488-496.
|
| [7] |
Omiyale A. Anastomosing hemangioma of the kidney: a literature review of a rare morphological variant of hemangioma[J]. Ann Transl Med, 2015, 3(11): 151.
|
| [8] |
Lappa E, Drakos E. Anastomosing hemangioma: short review of a benign mimicker of angiosarcoma [J] Arch Pathol Lab Med, 2020, 144(2): 240-244.
|
| [9] |
Cheon PM, Rebello R, Naqvi A et al. Anastomosing hemangioma of the kidney: radiologic and pathologic distinctions of a kidney cancer mimic [J].Curr Oncol, 2018, 25(3): e220-e223.
|