切换至 "中华医学电子期刊资源库"

中华腔镜泌尿外科杂志(电子版) ›› 2026, Vol. 20 ›› Issue (02) : 221 -225. doi: 10.3877/cma.j.issn.1674-3253.2026.02.016

病例报告

膀胱低级别平滑肌肉瘤一例报告并文献复习
贺慷, 杨诚, 李建雄, 夏明, 陈明坤, 刘存东, 夏慧()   
  1. 510630 广州,南方医科大学第三附属医院泌尿外科
  • 收稿日期:2022-11-10 出版日期:2026-04-01
  • 通信作者: 夏慧
  • 基金资助:
    南方医科大学第三附属医院院长基金(NO.YL202201)

Low-grade leiomyosarcoma of the bladder: a case report and literature review

Kang He, Cheng Yang, Jianxiong Li, Ming Xia, Mingkun Chen, Cundong Liu, Hui Xia()   

  1. Department of Urology, Third Affiliated Hospital of Southern Medical University, Guangzhou 510630, China
  • Received:2022-11-10 Published:2026-04-01
  • Corresponding author: Hui Xia
引用本文:

贺慷, 杨诚, 李建雄, 夏明, 陈明坤, 刘存东, 夏慧. 膀胱低级别平滑肌肉瘤一例报告并文献复习[J/OL]. 中华腔镜泌尿外科杂志(电子版), 2026, 20(02): 221-225.

Kang He, Cheng Yang, Jianxiong Li, Ming Xia, Mingkun Chen, Cundong Liu, Hui Xia. Low-grade leiomyosarcoma of the bladder: a case report and literature review[J/OL]. Chinese Journal of Endourology(Electronic Edition), 2026, 20(02): 221-225.

目的

报告1例膀胱低级别平滑肌肉瘤,总结临床诊疗经过和复习相关文献,讨论膀胱平滑肌肉瘤的诊断和治疗方法,提高对本病的认识。

方法

回顾性分析1例南方医科大学第三附属医院接诊的膀胱低级别平滑肌肉瘤,患者为35岁男性,因"反复尿频尿急尿痛1周余"入我院。完善影像学资料及膀胱镜肿瘤活检术,病理考虑诊断为膀胱低级别平滑肌肉瘤。

结果

经综合考虑后行膀胱部分切除术,术后病理证实为膀胱低级别平滑肌肉瘤,免疫组化示SMA(+)、Desmin(+)、IMP3强阳性,切缘阴性。术后顺利出院,未出现漏尿。随访2年,患者肿瘤未复发。

结论

膀胱平滑肌肉瘤是临床罕见的恶性肿瘤,总体侵袭性强,预后不佳,治疗多以手术为主,高级别膀胱平滑肌肉瘤以根治性切除术为主,术后辅以放化疗;低级别且肿瘤较小可行膀胱部分切除术,手术要注意保证肿瘤外2~3 cm甚至以上切缘阴性。

Objective

To report a case of low-grade leiomyosarcoma of the bladder, summarize the clinical diagnosis and treatment process and review relevant literature, then discuss the diagnosis and treatment of bladder leiomyosarcoma to improve the understanding of this disease.

Methods

A 35-year-old male patient with low- grade leiomyosarcoma of bladder admitted to Third Affiliated Hospital of Southern Medical University was analyzed retrospectively. He presented with " urinary frequency, urgency, and dysuria for more than one week". The imaging examinations and cystoscopic tumor biopsy were performed, and the pathological diagnosis was low-gradeleiomyosarcoma of the bladder.

Results

After comprehensive consideration, the patient underwent partial cystectomy. Postoperative pathology confirmed low-grade leiomyosarcoma of the bladder. Immunohistochemistry showed that SMA(+), Desmin(+), IMP3 was strongly positive, and the incision margin was negative. The patient was discharged without urine leakage. After two-year follow-up, the patient showed no tumor recurrence.

Conclusions

Leiomyosarcoma of the bladder is a rare malignant tumor with highly invasive and poor prognosis generally. The primary treatment is surgery. Radical resection is the main treatment for high-grade leiomyosarcoma of the bladder, followed by radiotherapy and chemotherapy. Partial cystectomy is feasible for low-grade and small tumors. During surgery, it is crucial to obtain a negative surgical margin of at least 2-3 cm around the tumor.

图1 膀胱低级别平滑肌肉瘤患者术前影像注:图a为全腹CT示膀胱右前下壁增厚,可见一软组织肿块影突向腔内,呈宽基底与膀胱壁相连,大小约4.2 cm×1.6 cm×3.3 cm,其内密度欠均(箭头示);图b为盆腔MRI示膀胱右前壁不规则增厚并软组织肿块影,肌层欠连续,可见斑片状高信号影,DWI可见弥散受限,范围约1.4 cm×3.5 cm(箭头示)
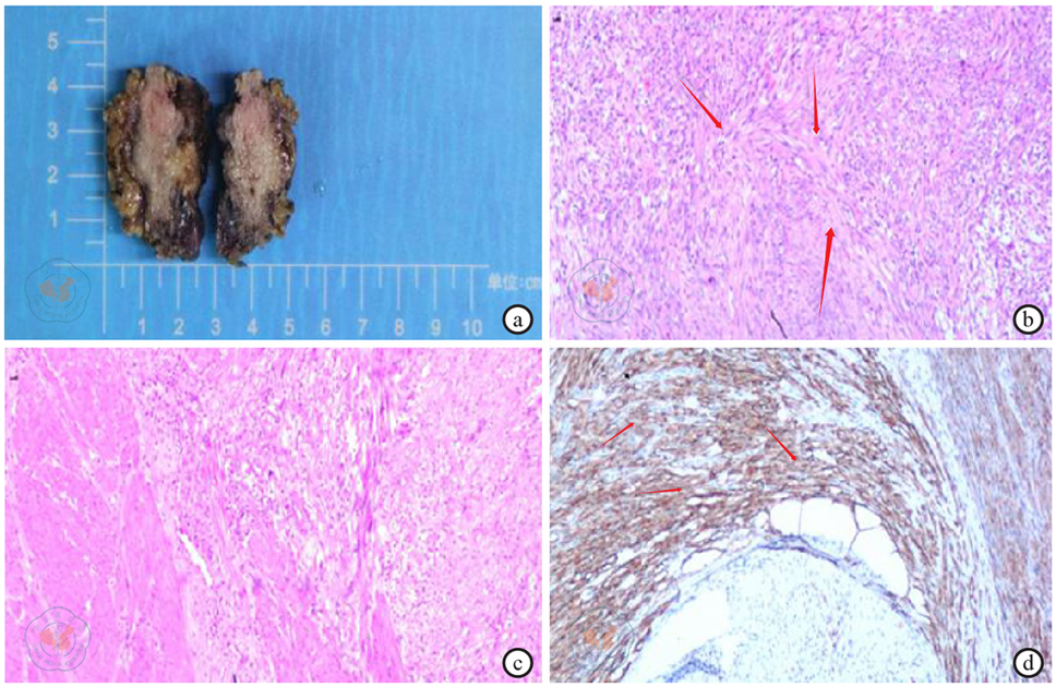
图2 膀胱低级别平滑肌肉瘤术后病理注:图a为膀胱平滑肌肉瘤大体标本;图b~c为膀胱平滑肌肉瘤光镜下观察(HE染色,×100),可见大量梭形细胞排列成束,核异型(箭头示);图d示免疫组化染色(SMA+)
图3 膀胱低级别平滑肌肉瘤患者术后2个月腹部影像注:图为术后全腹CT示膀胱充盈可,原右前下壁软组织肿块影未见显示,相应部位膀胱壁稍增厚、毛糙,术区未见异常密度影及异常强化灶
图4 膀胱低级别平滑肌肉瘤患者术后1年和2年盆腔影像注:a~b为患者术后1年盆腔MRI示未见肿瘤复发,c~d为患者术后2年盆腔CT示大致同前,建议随诊
[1]
Rodríguez D, Preston MA, Barrisford GW, et al. Clinical features of leiomyosarcoma of the urinary bladder: analysis of 183 cases[J]. Urol Oncol, 2014, 32(7): 958-965. DOI: 10.1016/j.urolonc.2014.01.025.
[2]
Ramírez Sevilla C, Admella-Salvador C, Romero-Martin JA, et al. Bladder leiomyosarcoma 25 years after treatment with cyclophosphamide in patient with history of retinoblastoma[J]. Urol Int, 2018, 100(1): 119-121. DOI: 10.1159/000437442.
[3]
谭智勇, 李宁, 黄应龙, 等. 误诊为尿路上皮癌的膀胱平滑肌肉瘤1例并文献分析[J]. 国际泌尿系统杂志, 2020, 40(2): 321-323. DOI: 10.3760/cma.j.issn.1673-4416.2020.02.035.
[4]
Uhlman MA, Gibbons EP, Gasana A, et al. A 26-year old female with leiomyosarcoma of the bladder and a serendipitous cystectomy-a success story from international volunteers in Urology[J]. Urol Case Rep, 2018, 21: 17-18. DOI: 10.1016/j.eucr.2018.08.006.
[5]
Ohan H, Minassian G, Minassian H, et al. Retinoblastoma in infancy with subsequent bladder leiomyosarcoma in adulthood: genomic considerations[J]. Urology, 2020, 140: 38-40. DOI: 10.1016/j.urology.2020.03.010.
[6]
Zieschang H, Koch R, Wirth MP, et al. Leiomyosarcoma of the urinary bladder in adult patients: a systematic review of the literature and meta-analysis[J]. Urol Int, 2019, 102(1): 96-101. DOI: 10.1159/000494357.
[7]
谭智勇, 李宁, 王海峰, 等. 微创治疗膀胱平滑肌肉瘤1例报告[J]. 现代泌尿外科杂志, 2019, 24(11): 970-971. DOI: 10.3969/j.issn.1009-8291.2019.11.022.
[8]
罗晓青, 杨光华, 郭立新, 等. 48例软组织平滑肌肉瘤的病理及免疫组化研究[J]. 临床与实验病理学杂志, 2000, 16(1): 11-14. DOI: 10.3969/j.issn.1001-7399.2000.01.006.
[9]
Lindberg MR, Fisher C, Thway K, et al. Leiomyosarcoma of the urinary bladder: a clinicopathological study of 34 cases[J]. J Clin Pathol, 2010, 63(8): 708-713. DOI: 10.1136/jcp.2010.077883.
[10]
Xiao X, Hu R, Deng FM, et al. Practical applications of immunohistochemistry in the diagnosis of genitourinary tumors[J]. Arch Pathol Lab Med, 2017, 141(9): 1181-1194. DOI: 10.5858/arpa.2016-0530-RA.
[11]
Ribeiro JGA, Klojda CAB, Araújo CP, et al. Giant leiomyosarcoma of the urinary bladder[J]. J Clin Diagn Res, 2016, 10(5): PD14-PD15. DOI: 10.7860/JCDR/2016/18971.7858.
[12]
Coiner BL, Cates J, Kamanda S, et al. Leiomyosarcoma of the urinary bladder: a SEER database study and comparison to leiomyosarcomas of the uterus and extremities/trunk[J]. Ann Diagn Pathol, 2021, 53: 151743. DOI: 10.1016/j.anndiagpath.2021.151743.
[13]
Rosser CJ, Slaton JW, Izawa JI, et al. Clinical presentation and outcome of high-grade urinary bladder leiomyosarcoma in adults[J]. Urology, 2003, 61(6): 1151-1155. DOI: 10.1016/s0090-4295(03)00021-9.
[14]
刘宇, 文春森, 张龙, 等. 成人膀胱平滑肌肉瘤17例诊治分析[J]. 现代泌尿外科杂志, 2022, 27(6): 499-502. DOI: 10.3969/j.issn.1009-8291.2022.06.011.
[15]
Spiess PE, Kassouf W, Steinberg JR, et al. Review of the M.D. Anderson experience in the treatment of bladder sarcoma[J]. Urol Oncol, 2007, 25(1): 38-45. DOI: 10.1016/j.urolonc.2006.02.003.
[16]
郑铎, 刘隽垚, 齐鹏, 等. 膀胱平滑肌肉瘤一例报告[J]. 中华泌尿外科杂志, 2018, 39(2): 151. DOI: 10.3760/cma.j.issn.1000-6702.2018.02.022.
[17]
Matsumoto S, Shimizu N, Moriguchi N, et al. Bladder leiomyosarcoma in a boy[J]. Int Urol Nephrol, 2006, 38(3-4): 549-551. DOI: 10.1007/s11255-006-0072-8.
[18]
Delgado-Prada A, Borrás J, Farzanegan R, et al. Cutaneous reaction to ifosfamide plus mesna treated with desensitization challenge: a case report[J]. Clin Mol Allergy, 2022, 20(1): 7. DOI: 10.1186/s12948-022-00173-0.
[1] 王嘉民, 刘平. 广东省医学会泌尿外科疑难病例多学科会诊(第27期)——肾移植术后原发膀胱癌[J/OL]. 中华腔镜泌尿外科杂志(电子版), 2025, 19(06): 809-814.
[2] 詹文豪, 吾米尔·吾斯曼江, 刘仁, 曾小兰, 陈俊星, 王宗任. 经尿道膀胱肿瘤整块切除术与电切术治疗高危非肌层浸润性膀胱癌的比较[J/OL]. 中华腔镜泌尿外科杂志(电子版), 2025, 19(03): 309-314.
[3] 郄云凯, 张哲, 梁山, 吴周亮, 李雨竹, 付晨辉, 沈冲, 胡海龙. 经尿道膀胱肿瘤整块切除术在T1期膀胱癌病理亚分期中的价值[J/OL]. 中华腔镜泌尿外科杂志(电子版), 2025, 19(03): 303-308.
[4] 曾弘. 膀胱癌病理报告中常用免疫组化标记物的解读[J/OL]. 中华腔镜泌尿外科杂志(电子版), 2025, 19(03): 296-302.
[5] 何海霞, 白守民. 放疗在肌层浸润性膀胱癌保膀胱治疗中的应用现状及优化减毒策略[J/OL]. 中华腔镜泌尿外科杂志(电子版), 2025, 19(03): 288-295.
[6] 黄世旺, 郄云凯, 胡海龙. 人工智能时代尿液无创检测方法在膀胱癌诊断中的应用[J/OL]. 中华腔镜泌尿外科杂志(电子版), 2025, 19(03): 283-287.
[7] 杨彦斌, 谢云, 陈俊星, 黄斌. 广东省医学会泌尿外科疑难病例多学科会诊(第21期)——肾盂并膀胱绒毛状腺瘤[J/OL]. 中华腔镜泌尿外科杂志(电子版), 2025, 19(02): 266-271.
[8] 薛庆, 施赛叶, 徐雅文, 盛夏, 张芹芹. 追踪方法学联合失效模式与效应分析在膀胱灌注化疗患者中的应用[J/OL]. 中华腔镜泌尿外科杂志(电子版), 2024, 18(06): 553-559.
[9] 钱承博, 殷虎明, 邱峰, 侯建全, 黄玉华, 魏雪栋. 高龄患者行腹腔镜膀胱根治W形回肠新膀胱术的临床价值与风险评估[J/OL]. 中华腔镜泌尿外科杂志(电子版), 2024, 18(04): 346-352.
[10] 李勇, 彭天明, 王倩倩, 陈育纯, 蒲小勇, 刘久敏. 基于失巢凋亡相关基因的膀胱癌预后模型构建及分析[J/OL]. 中华腔镜泌尿外科杂志(电子版), 2024, 18(04): 331-339.
[11] 李萍, 陈慧, 庄君龙. 快速康复外科在机器人辅助腹腔镜膀胱切除回肠造口术中的应用[J/OL]. 中华腔镜泌尿外科杂志(电子版), 2024, 18(03): 249-253.
[12] 谭智勇, 付什, 李宁, 王海峰, 王剑松. 膀胱小细胞癌发病机制及其诊疗研究进展[J/OL]. 中华腔镜泌尿外科杂志(电子版), 2024, 18(02): 183-187.
[13] 杨继红, 马德安, 杨晓春, 罗能钦, 马蓉, 刘扬, 党雅梅. 阴囊壁平滑肌肉瘤一例报告[J/OL]. 中华腔镜泌尿外科杂志(电子版), 2024, 18(01): 93-95.
[14] 赵旭鹏, 王集琛, 田硕, 李宏召, 李修彬, 张旭. EP300 通过上调FKBP10 促进膀胱肿瘤细胞迁移和侵袭[J/OL]. 中华细胞与干细胞杂志(电子版), 2024, 14(05): 264-274.
[15] 王凯飞, 牟怡平, 李晓辉, 王瑞涛, 侯惠莲, 张月浪. 原发性肝平滑肌肉瘤临床病理特征及疗效分析[J/OL]. 中华肝脏外科手术学电子杂志, 2024, 13(03): 357-362.
阅读次数
全文


摘要


AI


AI小编
你好!我是《中华医学电子期刊资源库》AI小编,有什么可以帮您的吗?